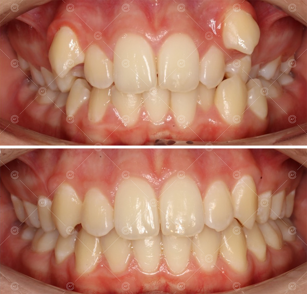
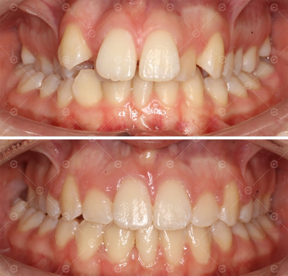
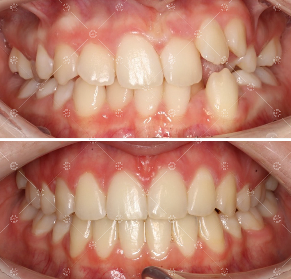
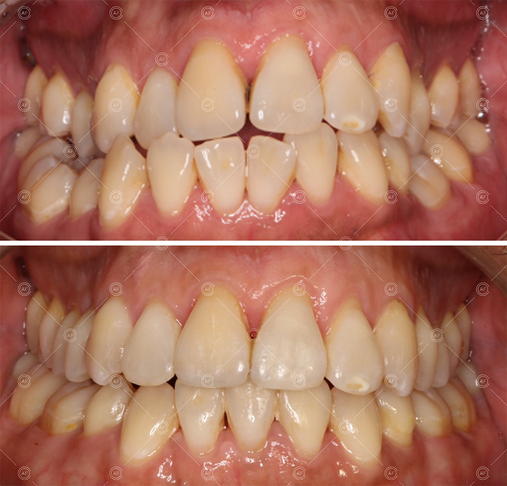
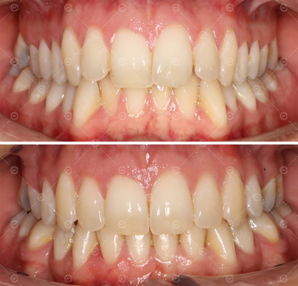
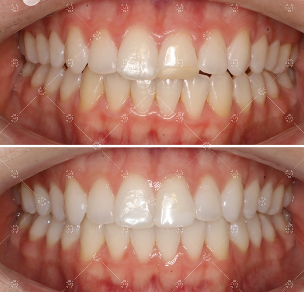
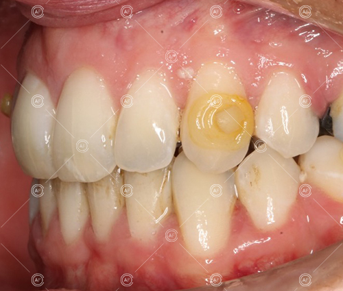
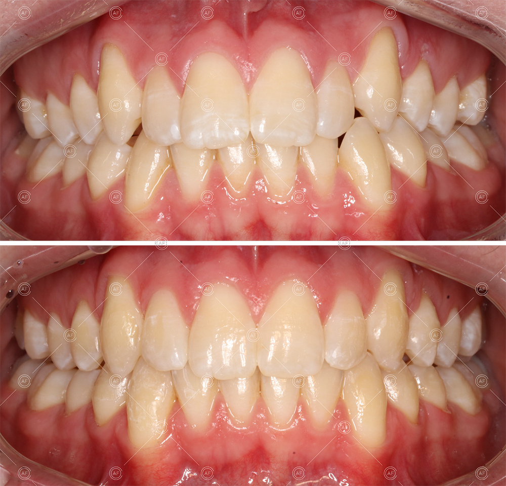
This patient (MH) began her active orthodontic treatment in October 2019 at almost 13 years old. She was unhappy with the appearance of her upper and lower teeth, and especially concerned about the unsightly nature of the high and buccally positioned upper left canine.

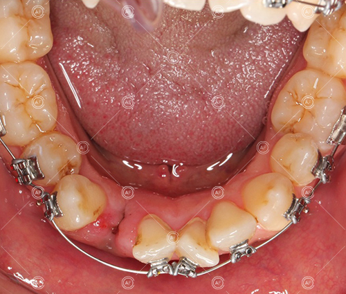
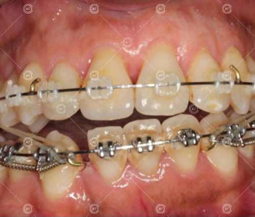
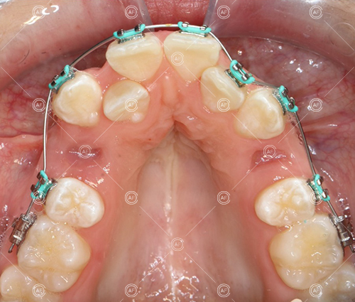
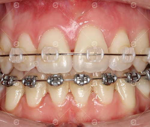
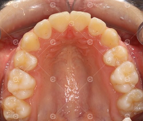
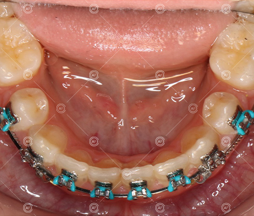
about this case…MH presented with class 1 incisors on the class 1 skeletal base with a slightly increased vertical proportion. She had severe crowding in the upper arch and moderate crowding in the lower. Due to the crowding in the lower arch, the lower centre line was off to the left by 2mm.
Buccal segments were essentially class 1 on the right hand side and a full unit class 2 on the left. This is due to buccal exclusion of the upper left 3 and mesial drift of the upper buccal segment.
After careful treatment planning, the following treatment plan was formulated:
- Oral hygiene to an exemplary standard
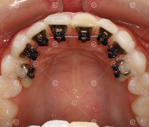
- Extraction of upper right 5, upper left 4, lower left 5, lower right 5
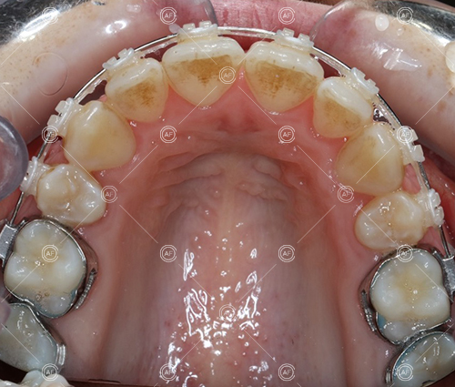
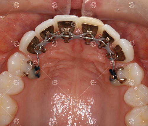
- Fixed appliances in the upper and lower arches
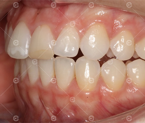
The aim of the treatment was to relieve upper and lower arch crowding, correct lower centre line shift, treat class 1 incisors and buccal segments.
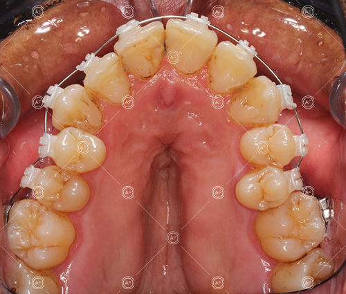
Treatment progressed by starting with thin, flexible nickel titanium archwires of a round diameter, transitioning to a rectangular nickel titanium archwire before eventually working up to a working archwire (1925 stainless steel).
Residual space from the extractions were closed using upper and lower nickel titanium closing coils. Class 2 elastics were used to facilitate space closure in order to gain class 1 buccal segments.
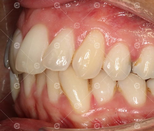
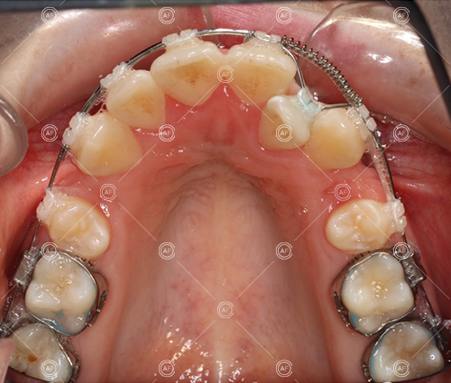
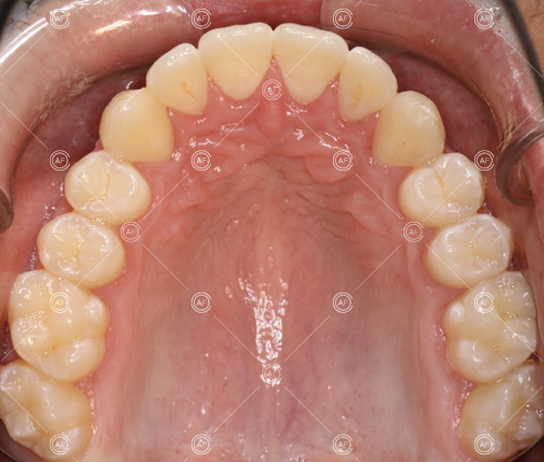
MH debonded in December 2020, with overall treatment time of around 14 months.
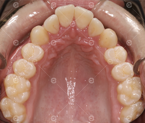
She was provided with upper and lower vacuum form retainers, and asked to wear these every night for the first year, and alternate nights for the second year onwards, indefinitely for as long as she wanted her teeth to remain straight. High quality finish was maintained at one year post-debond.

















